种植牙是一项“高精尖”的口腔修复技术,种植牙医院的选择直接影响到种植牙的效果。但是面对国内大大小小的口腔医院,怎样才能选择一家好的种植牙医院呢?
种植牙如果做的不好将产生感染、牙龈增生等并发症,种植牙寿命也将无从保证。选择好的种植牙医院需要从多方面了解,不仅仅是种植牙技术方面,还有医院的资历、医生、材料等等。

种植牙材料——如果材料选择不合理,轻者可能导致植入失败,严重者诱发感染、牙槽骨发炎等口腔疾病,危害口腔健康。因此牙缺失患者在选择种植牙时第一步应当选择适合自己的种植材料。
种植牙分为种植体、基台和牙冠,关于种植体康贝佳引进韩国奥齿泰种植系统、美国百康种植系统、瑞典诺贝尔等进口种植系统,缺牙患者可以根据自己的实际情况,选择适合自己的种植体。
【温馨提示】:昂贵的材料不一定适合您的口腔状况,在挑选时要听从专业医生的建议,康贝佳口腔医院会结合顾客的实际情况,认真负责地为顾客挑选每一颗种植牙。
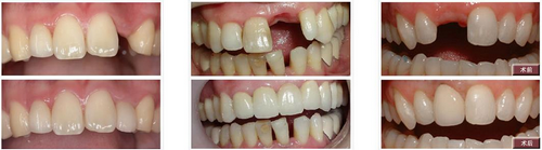
种植牙技术——技术好不好直接影响到种植牙手术的效果,微创种植技术是通过术前对患者口腔进行全方位扫描,精确计算出相关数据,再以微创的方式将患牙拔除,清创后立即植入人工牙根。
微创种植技术对种植的位置、角度、深度都可以通过智能化设备进行精确计算,结合可视化操作,有效保障了种植过程的安全及术后效果。

临床发现,一大部分患者的种植牙在一两年后就会脱落,究其原因,正是因为主诊牙医临床经验和技术不够,导致种植体未能与牙槽骨紧密结合造成的。患者在选择种牙前应务必了解医师的个人资历。
另外,由于国外开展种植牙项目普遍较早,大多数国外医师技术相对更为娴熟,对病例的处理经验更加丰富,种植牙效果更有保障。

康贝佳口腔制定了以海外医生为支持,不断广纳国外、国内口腔优秀医学人才加盟。定期邀请韩国种植牙任势雄、德国种植博士艾斯纳与意大利名医法布里奇奥定期巡诊,为广大百姓带来当下先进的种植技术。
康贝佳口腔连锁专业治疗口腔疾病,是4D瓷睿刻、种植牙、矫正牙齿、牙齿美白、牙齿修复基地。汇聚众多口腔医生,以很好的材料和设备,集治疗、美容、修复为一体,不断坚持“以患者呼声为信号,以病人满意为标准”的经营理念,在不断引进高素质人才、高科技设备、提供高标准服务的基础上,致力为患者服务。
同时康贝佳种植技术都是国外引进,技术、设备都是很先进的;医生经验丰富,能够解决各种牙缺失问题、对患者口腔产生的问题进行逐一解决,并通过检查结果制定出适合患者的种植牙手术方案。
而且康贝佳口腔医院实行“透明定价制”,严格按照卫生部标准和物价局要求,每种药品、每项检查、每项服务、每一笔门诊、住院费用都完全公开,保证每位患者都能真正地明白就医,清楚付费,价格表更明细。

1、超低价格:
目前主流的种植体品牌大部分都是进口,成本很难压低下来,有的口腔机构为了快速打开市场,借助患者对口腔种植修复项目的不了解,以超低价格噱头吸引患者,而后通过以次充好甚至直接使用不合格产品来获得利润。
2、无相关资质:
口腔项目包含口腔种植、口腔正畸、口腔修复等数十个项目,并非每个口腔机构都有资质开展口腔种植项目。在就诊前,患者一定要先看医疗机构悬挂的卫生信息公示栏,看他们是否有开展口腔种植项目的资质。
康贝佳口腔是一所大型连锁齿科,这里不仅有技术精湛的医生团队和先进的医疗设备,还有优雅、温馨的诊疗环境,让您在这里安心的就医,如果您还有问题或疑虑,可以点击【在线咨询】,我们会为您耐心的解答。