始于
2005
专研齿科 全国连锁
全国连锁 您身边的口腔健康管家
2005年 康贝佳口腔品牌在中国正式诞生
2009年 康贝佳口腔医院落户于江苏南京
2011年 被《扬子晚报》评为"读者信赖的口腔机构"
2012年 被评为2012南京市医疗服务质量整体评估A级
2013年 获《南京日报》民生服务业"市民满意单位"
2014年 被《现代快报》读者评为"仁心医疗机构"
2016年 被江苏老龄评为第二届“敬老文明号”
2017年 康贝佳河西新院盛大开业
2018年 “牙齿银行”技术落户康贝佳
2019年 南京高淳分院开业,各界大咖齐聚共同见证
2020年 举办荣膺瑞士士卓曼集团"铂金合作伙伴荣誉"
2021年 大连康贝佳山东路精品院开业
2022年 南京地区第4家分院秦淮院开业
2023年 士卓曼集团来院内参观交流
2024年 康贝佳携手南京市退役军人就业创业促进会,共谋合作新篇章!

- 电话预约:400-025-0505
始于
2005
品牌传承:专注口腔健康

-
2009年
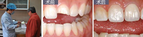
引进德国西门子3D齿雕系统,实现1小时美齿"神话"

-
2012年
评为2012南京市医疗服务质量整体评估A级

-
2014年
被《现代快报》评为南京诚信服务医院
被《现代快报》读者评为"仁心医疗机构

-
2016年
携手WISE齿科医院成立
"中韩口腔医学合作交流中心"

-
2018年
“牙齿银行”技术落户康贝佳
“麦哲伦”数字化种植设计中心落户康贝佳

-
2019年
南京高淳分院开业,
各界大咖齐聚共同见证

-
2021年
大连康贝佳山东路精品院开业

-
2023年
士卓曼集团来院内参观交流

-
2011年
被《扬子晚报》评为读者信赖的口腔机构

-
2013年
获《南京日报》民生服务业"市民满意单位
被《南京晨报》《江南时报》联合评为"诚信医疗承诺守信单位"

-
2015
举办国际先进正畸技术推介会
启动1000万爱牙基金

-
2017年
"种植牙复杂案例会诊中心"成立
康贝佳口腔河西新院盛大开业

-
2020年
举办荣膺瑞士士卓曼集团”
铂金合作伙伴“荣誉称号

-
2022年
南京地区第4家分院秦淮院开业

-
2024年
康贝佳携手南京市退役军人就业创业促进会,共谋合作新篇章!

- 电话预约:400-025-0505
-

-
姜山
康贝佳口腔种植科医师
擅长项目:
即刻种植、种植修复、前牙美学修复、各种精密附件的制作
-

-
张扬
口腔正畸科主诊医师
擅长项目:
学龄前儿童、青少年及成年人各类复杂牙颌畸形的矫正治疗数字化隐形矫正、正畸牙周联合技术等
-

-
王永展
中华口腔医学会会员
擅长项目:
前牙的美容修复,口腔内科治疗口腔种植

- 电话预约:400-025-0505
始于
2005
荣誉资质:实力彰显品牌价值
作为口腔连锁专业品牌,康贝佳口腔多次主办或承办学术研讨会、高峰论坛等活动,以实力彰显了品牌力量。
始于
2005
技术革新:采用当下先进技术

- 电话预约:400-025-0505
始于
2005
社会公益:康有医德,贝齿为佳
公益义诊 康贝佳爱牙直通车走遍全城近百场,名医亲诊和爱牙知识讲座十多次,爱牙俱乐部新老顾客联谊会健康与责任,我们牢记于心!

- 合作
媒体